图片 门牙前突钢丝正畸案例_狗万app足彩_狗万体育在线-平台*官网
美牙热线:400-8888-888
    当前位置:狗万app足彩_狗万体育在线-平台*官网 > 关于医院 > 康复案例 >
门牙前突钢丝正畸案例
来源:狗万app足彩_狗万体育在线-平台*官网 更新时间:2015-04-06 11:09 点击:
新年特惠送祝福

美丽是一条漫长的路,我们一起加油!
  
  基本信息:韩同学,18岁,在校学生,通过网络预约就诊
  
  患者主述:牙齿排列还算整齐,但存在上牙前突的现象,经常被同学调侃是“暴牙妹”,内心深感自卑,想通过钢丝正畸的办法,把前突的牙齿恢复到正常的位置,改善颜面侧貌,摆脱牙齿难看的苦恼。
  
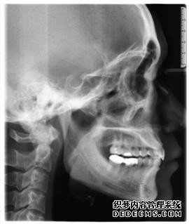
  临床诊断:通过3D数字化全景机的检查,患者的上牙前突属于牙性,双唇闭合时可见明显隆起,X片显示根尖无异常,上下后牙存在间隙,可通过美国MBT直弓丝正畸技术将其矫正复位,并收拢间隙,矫正所需时间一年半左右。
矫正前正面照  
矫正前正面照

矫正前侧面照
矫正前侧面照
   
全景机侧位片
 全景机侧位片 
                        
全景机正位片
全景机正位片

矫正前  
矫正前(可见明显牙缝)
  
矫正中
矫正中
  
矫正中 
矫正中
  
    上下排牙齿的牙缝已收完  矫正中(上下排牙齿的牙缝已收完)
  
保持器阶段
保持器阶段
  
矫正后正面照
矫正后正面照
  
矫正后侧面照
矫正后侧面照

温馨提示:当文章不能完全解决您的问题时,请点击在线咨询与西宁京瑞口腔专家一对一交流!打字不方便的朋友可拔打我院24小时咨询热线:09718222218,与专业口腔医生进行语音交流。
    西宁京瑞口腔以专业的心,做专业的事!现在进行网上预约,享受"优惠活动",不用排队,节省您的时间和精力!